구두와 신발은 패션의 중요한 하나입니다.
하지만 걸때에 발이 아파 좋아하는 신발을 신는것을 포기라는 경험은 없습니까?
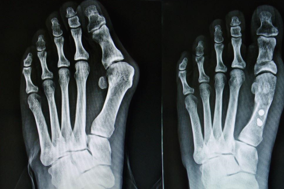
"구두를 신으면 발이 아프다" 라고 하는 고민의 대부분은 무지 외반증에 기인하고 있습니다.
무지 외반증은 초기 증상에는 눈치를 못 채고 있는 사람이 무척 많기 때문에 증상이 심화된 뒤에야 병원으로 달려가기도 합니다.
증상의 심각성과 원인, 대처 법에 대해서 알아 둡시다.

무지 외반증 이런 증상은 주의하라!
무지 외반증은 문자 그대로 발 외반증(엄지)가 다른쪽 발가락쪽으로 휘는 것을 말합니다.
처음엔 아픔이 없거나, 양말과 신발을 신고 있는 있어도 좀처럼 진행을 깨달기 어려운 것이 무지 외반증입니다.
그래서 걷지 못할 만큼 통증이 심해질때까지 알아차리지 못한다는 것입니다.
증상이 심해진 후 고치기 힘들기 때문에 초기 증상에 대응하는 것이 중요합니다.
무지 외반증의 초기 증상
-엄지의 밑부분이 부어있다
-엄지의 밑부분이 뻐건하다
-엄지 발가락 끝이 새끼 발가락 쪽으로 휘어있다
-신발을 신고 오래 걸으면 다리가 아프다
-구두에 쓸려서 물집이 잡힐 때 엄지의 밑부분에 생긴다
이상 중 어느 하나라도 사항이 있으면 무지 외반증을 의심할 필요가 있습니다.
증상이 심해지면 걷기나 서는 것도 어렵고 일상 생활에 큰 장애를 빚게 됩니다.
무지 외반증은 진행성의 병이에요."이 정도의 통증이라면..."이라는 방심이 너무 위험하므로, 정신 차려서 증상을 악화시키지 않도록 해야합니다.
무지 외반증이 일어나기 쉬운 4가지 원인
무지 외반증에는 누구도 증상을 일으킬 가능성이 존재합니다.
일상 생활의 뜻밖의 곳에도 무지 외반증에 생기는 원인이 숨어 있어 남의 일이라고는 생각하지 말고 자신에게도 원인이 없는지 점검해보세요.
1. 자신의 발에 맞지 않는 신발을 신고 있다
무지 외반증에 되는 사람의 원인으로서 가장 많은 것이 이" 맞지 않는 신발의 착용"이라는 것입니다. 많은 여성은 하이힐, 펌프스를 연상하지만 사실 그것뿐만 아니라 운동화에서도 무지 외반증이 될 가능성은 도사리고 있습니다.
2. 사이즈가 작은 신발을 신고 있는 경우
자신의 발보다 사이즈 작은 구두를 신으면 발끝이 꽉 조이게 되어 변형되어 버립니다.
그 결과로서 엄지 발가락이 휘는 무지 외반증의 원인이 됩니다.
자주 신는 "하이힐, 펌프스가 무지 외반증에 걸리기 쉽다"라는 말은 다리의 변형에서 오는 무지 외반증에 유래하고 있습니다.
발끝을 조이는 하이힐, 펌프스는 확실히 무지 외반증을 초래하기 쉽지만, 사이즈가 작은 운동화에서도 무지 외반증에 될 가능성이 있습니다.
3. 사이즈가 큰 신발을 신고 있는 경우
새로 구두를 살 때 크기에 여유를 가지고 큰 구두를 고른 사람도 많이 있습니다. 확실히 구두의 크기에는 어느 정도의 여유가 필요하지만 너무 구두가 너무 크면"신이 벗겨지지 않도록" 무의식 중에 부자연스러운 걸음 걸이를 하게 되어 버립니다..
부자연스러운 걸음 걸이를 하면 다리에 체중을 실어 걷기때문에 몸의 균형이 나빠지고 결과적으로 엄지의 밑부분에 있는 뼈나 근육에 부담이 따른 무지 외반증으로 연결되게 됩니다.
4. 평발을 가진 경우
사람의 발은 누구나 태어날때 발바닥이 없고 평평한 상태입니다.
발바닥이 평평한 상태를 "평발"이라고 부릅니다.
사람은 성장하면서 걷는 기회가 늘어나고, 서서히 발바닥이 형성되어 갑니다.
그러나 체질적인 문제나 습관적인 문제(맨발로 걷는 기회가 적어 등)로 어른이 되어서도 평발이 되는 사람이 있습니다. 평발은 몸의 균형을 나쁘게 합니다.
그렇게 되면 체중이 저절로 다리 안쪽으로 치우쳐서 발가락(특히 엄지)에 큰 부담을 주게 됩니다.
엄지 발가락에 부담을 줌으로 엄지발가락 관절이 비뚤어지게 됩니다.
관절이 어긋난 상태에서 신발을 신고 걷다 보면 신발의 압박에 의해서 더욱 발가락관절이 악화가 되어 무지 외반증에 이르는 것입니다.
*운동 부족
사무실 일등 계속 같은 장소 같은 자세에서 일하고 있는 사람은 운동 부족이 되기 쉽습니다.
개나 고양이 등의 동물이 네개의 발에서 자신의 체중을 지탱하는 반면 사람은 단 두 발로 체중을 지탱하고 있습니다.
두발로 몸을 지탱하고 있기 때문에, 사람에게 체중의 분산하는 방법은 아주 중요합니다.
만약 체중을 분산하는 방법이 나쁘면 부자연스러운 걸음 걸이가 되거나 다리 근육을 잘 사용할 수 없게 됩니다. 그 결과로 걸음걸이가 나빠지고 발 변형의 원인이 되고, 무지 외반증을 초래합니다.
*가족에 무지 외반증의 사람
무지 외반증은 골격의 뒤틀림이 원인이 되서 일어납니다. 만약 부모가 무지 외반증이라고 그 아이에 골격이 유전되어 무지 외반증으로 이어집니다.
골격의 유전이 있는 무지 외반증은 사이즈가 맞지 않는 신발 등을 신고 있지 않아도 발병특징이 있습니다. 그래서 만약 하이힐, 펌프스를 신어 본 적 없는 작은 아이가 무지 외반증이 되었을 경우는 유전이 원인입니다.
그러나 남녀가 근육 붙는 방법이 다르기 때문 아버지로부터 딸 or어머니에게서 아들로의 무지 외반증은 유전되기 어렵다라고 합니다.
그래서 유전에 의해무지 외반증의 걱정을 하면 동성 부모로부터의 유전을 의심하는 것이 타당합니다.
*무지 외반증이 원인으로 신체에 일으키는 병명
무지 외반증이 된다는 것은 몸을 지탱하는 것이 어려워 진다라는 것을 의미하고 있습니다.
몸을 지탱하지 못하면 몸 속 곳 곳에 폐해가 일어납니다.
-무지외반증에 의한 어깨 결림, 요통
무지 외반증이 되면 몸을 지탱하는 토대가 되는 다리가 역할을 해주지 않게 됩니다.
뼈의 토대가 나쁘면 당연히 지탱되는 존재의 신체도 균형이 나빠집니다.
어깨 결림도 요통도 몸을 잘 가눌 수 없는 것에 의해서 일어나는 골반 변형이 원인이 되고 있습니다.
-어깨 결림
골반이 기울어짐으로써 골반 부근에 위치한 등뼈, 견갑골 등에도 왜곡이 생깁니다. 뼈의 균형이 무너지면 그 뼈에 달라붙어 있는 근육이 긴장하고 필요 이상으로 지쳐 어깨 결림으로 연결됩니다.
-요통
골반이 기울면 당연히 골반 주변에 있는 근육이 긴장하고 근육이 피곤해서 요통을 느끼게 됩니다.
또 골반의 차이는 요추에 변형을 가져옵니다. 요추가 어긋나면 그 주위에 있는 신경을 압박하고, 요통이 나타납니다.
-다리 부종
무지 외반증에 의해서 체간의 균형이 나빠지면 걸을 때 다리 근육에 필요 이상의 부담이 걸립니다.
특히 정강이. 종아리 근육에 부담을 주게 되며, 혈액 순환이 나빠지고 노폐물이 쌓이기 쉬운 환경이 되어 버립니다. 또 골반의 변형도 다리 부종에 크게 영향을 주고 있습니다. 무지 외반증으로 골반이 기울면서 좌골 신경의 활동이 둔해지게 되고 하반신의 대사가 나빠져 부종이 일어나기 쉽습니다.
-두통
편두통에 시달리던 사람이 원인을 살펴보면 무지 외반증이 있다는 이야기도 적지는 않습니다.
무지 외반증으로 골반이 왜곡되면 그 왜곡은 신체 내의 뼈에 충격을 주게 됩니다.
골반에서 등뼈, 견갑골까지 왜곡이 이를 최종적으로는 두개골까지 도달합니다. 머리뼈까지 왜곡이 이를 정도면 혈류의 순환도 나빠지고 편두통을 일으킵니다.
약도 듣지 않는 편두통이 있는 사람은, 무지 외반증을 의심해야 합니다.
-무지외반증은 자율 신경을 교란시킨다
자율 신경에 혼란이 있는 사람의 대부분은 발바닥에 이상이 있는 것이 많다는 데이터가 있습니다.
무지 외반증에 의한 뼈의 변형은 경추까지 도달합니다.
경추와 두개골의 접속부에는 마침 자율 신경이 뻗어 있는 부분이 있으며 이 때문에 경추와 두개골에 변형이 생김으로써 자율 신경의 교란으로 연결됩니다.
*무지 외반증에 되었을 때의 대처 법
내가 만약 무지 외반증에 되다는 것을 알아보면 즉각 대처하지 않으면 증상이 점점 나빠지고 갑니다. 비교적 쉽게 할 수 있는 대처 법을 소개합니다!
호만 체조
호먼 체조는, 무지 외반증의 교정으로 유명한 운동 요법입니다.

호만 체조 방식
-가급적 넓은 고무 밴드를 준비합니다.
-맨발이 되고, 다리를 뻗고 바닥에 앉으세요.
-두발의 엄지에 고무 밴드를 걸겠습니다.
-좌우의 발 뒤꿈치를 붙인 채 고무줄을 잡고 발 끝을 바깥쪽으로 열립니다.
-그 상태를 5~10초간 유지하고, 열었던 발을 원래대로 돌리세요.
이를 30번 반복하여 1세트가 됩니다. 하루 3세트를 기준으로 맞붙어 보세요.
*무지외반증 테이핑
무지 외반증에 된 경우의 치료에 테이핑은 효과적인 수단입니다.
그러나 테이핑다고 해도 테이프 감는 방법은 여러가지가 있습니다. 어느 것이 옳다라고 할 수 없는 것이 현실입니다. 무지 외반증 정도나 본인의 체질에 맞춰 효과적인 감는 방법은 다릅니다.
무지 외반증을 테이핑하여고치고 싶다고 생각하고 있는 사람은 한번 병원에 가서 자신에게 맞는 감는 방법을 알아보는게 좋습니다.
또 테이핑을 하는 데의 디메리트로서 피부의 염증을 일으키게 됩니다. 심해지면 가려움과 붉은 빛만 아니라 물집까지 생기게 되므로자신의 피부에 맞는 소재의 테잎을 선택해서 사용해야 합니다.
테이핑은 3일 1번은 테이핑을 하지 않고 지내세요.
*발 사이즈에 맞는 구두를 선택하라
무지 외반증에 걸리는 큰 이유가 신발 사이즈가 맞지 않는 것입니다.
발에 부담이 가지 않는 구두로 바꿈으로써 골격의 변형을 막을 수 있습니다.
구두를 고를 때는 잘 신어본 후 자신의 발에 잘 맞는지 확인하고 구매해야 합니다.
따라서 무지외반증을 방지하기 위해서는 아래 이유를 확인하고 자신의 건강을 유지하세요.
1. 발 뒤꿈치의 커브 라인이 신발 커브 라인과 맞는가?
-발끝과 신발 끝 사이에 10mm정도의 여유
-조금 걸어 보다가 다리에 힘을 주지 않고도 벗끼는가
-저녁에 다리가 붓기가 있는가
위의 3가지에 하나라도 맞지 않으면 구두가 자신의 발에 맞지 않다는 것입니다.
구두를 구매하기 위해서는 아침이나 낮 등 활동량이 맞는 시간대에 맞추어 구두를 고르러 가는 게 최고입니다.
2. 무지 외반증은 만병의 근원. 누구라도 전조 증상이 있다.
무지 외반증에 되면 발외의 자신의 건강에 심각한 해를 끼치게 됩니다.
어쩌면 지금 당신의 몸에 생긴 뭔가의 컨디션이 무지 외반증이 원인인지도 모릅니다.
멋있고 세련된 신발을 신지 못하게 되는것이 중요한것이 아니라 무지외반증이 심해지면 걷지 못하거나 우울증을 일으키게 됩니다.
특히 하루 중일 외부근무를 하는 사람은 무지 외반증에 되기 쉬우니 조심해야 합니다.
'건강마스터' 카테고리의 다른 글
| 황산화기능강화- 인간 생체내의 황산화기능의 칼럼 (0) | 2020.04.09 |
|---|---|
| 셀프로 체크하는 남성갱년기 증상과 치료 (0) | 2020.04.07 |
| 허브티 즐기기- 민트티는 박하향의 멘톨이 심신을 안정시켜준다. (0) | 2020.04.07 |
| 구충제 이버멕틴이 신종코로나19를 죽인다는 연구결과가 발표되어 눈길을 끌었다. (0) | 2020.04.06 |
| 크릴오일의 효능중에 오메가3와 인지질이 매우 풍부하다 (0) | 2020.04.05 |
| 20대와 40대 50대의 추천 다이어트 방법 (0) | 2020.04.05 |
| 미국서 보내준 정보인데 코로나 바이러스는 담백질이기 때문에 금식만하면 바로 제거됩니다 (0) | 2020.04.04 |
| 변비개선을 위하여 출근 시간을 5분 일찍 일어나 이불위에서 간단하게 하는 스트레칭 (0) | 2020.04.02 |